40° CONGRESSO INTERNAZIONALE AIOP
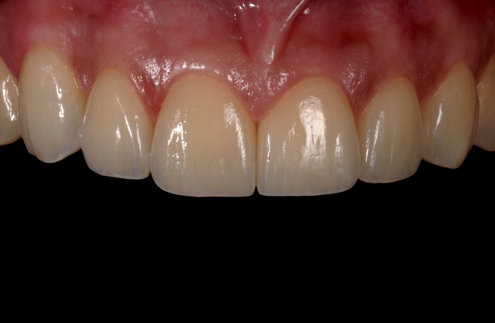
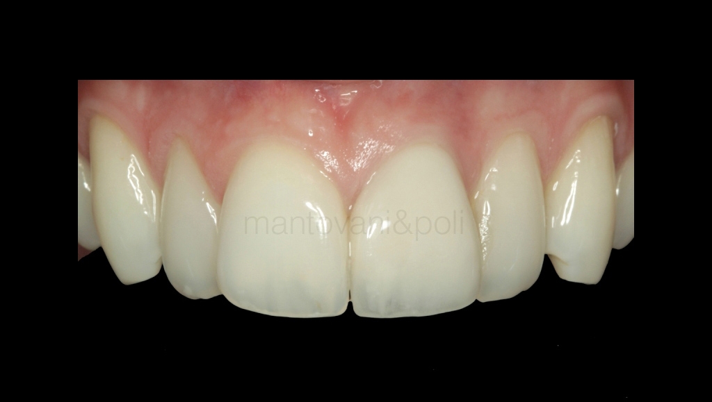
Il laboratorio Mantovani & Poli ha partecipatro nei giorni 19-20 Novembre 2021 al Congresso Internazionale AIOP svoltosi a Bologna
" Attualità in protesi:alla ricerca di risposte "
Davide Mantovani e Tatiana Poli nel 1986 inaugurano la sede del loro laboratorio odontotecnico che nasce da un progetto accurato e dettagliato che rappresenta il loro sogno. Elementi fondamentali nella loro professione sono esperienza e ragione, senza trascurare entusiasmo e intuito che, da sempre, sono le loro forze propulsive.
Nel tempo altri qualificati professionisti si sono inseriti nel loro team generando così una squadra unita e focalizzata sull'alta cura di tutte le fasi del lavoro. Il laboratorio ha sviluppato un processo di trasformazione ed evoluzione tecnica professionale mettendo costantemente al centro del proprio obiettivo la qualità del prodotto ed il servizio.
Per Davide e Tatiana é fondamentale il rapporto sinergico col medico dentista per la programmazione e la progettazione dei casi protesici, anche i più complessi, come estetica mininvasiva, implantoprotesi, ricostruzioni ad alto valore estetico e protesi rimovibile.
Oggi l'azienda Mantovani&Poli, avvalendosi dell' utilizzo di tecnologie all'avanguardia, e' pronta per le nuove sfide in una realtà sempre più dinamica ed esigente, con l'obiettivo di garantire una corretta integrazione fisiologica e funzionale delle proprie creazioni certi che possiedano caratteristiche di inequivocabile affidabilità.
"La ricerca rappresenta da sempre un importante elemento di sviluppo...
e ciò alimenta un continuo processo innovativo"
Davide Mantovani e Tatiana Poli
“Creare tutti i giorni con passione un prodotto su misura di altissima qualità con le nostre mani”
Il laboratorio Mantovani & Poli ha partecipatro nei giorni 19-20 Novembre 2021 al Congresso Internazionale AIOP svoltosi a Bologna
" Attualità in protesi:alla ricerca di risposte "
Il laboratorio Mantovani & Poli ha partecipato nei giorni 5 e 6 Novembre 2021 al corso "Quello che bisogna sapere sull'occlusione" tenuto dal Dott. Mauro Fradeani e il Dott. Leonardo Baccherini.
Il laboratorio Mantovani & Poli ha partecipato nei giorni 21-22-23 Ottobre 2021 al congresso Colloqium Dental a Brescia
Rendiconto delle sovvenzioni, sussidi, vantaggi, contributi o aiuti, in denaro o in natura, non aventi carattere generale e privi di natura corrispettiva, retributiva o risarcitoria, di qualunque genere, rivevuti ex art.1, commi da ...
Il laboratorio Mantovani & Poli ha partecipato nei giorni 15 16 17 Aprile 2021 al XII Meeating Mediterraneo OnAir
"La nuova normalità: come e quando la tecnologia digitale migliora efficacia ed efficenza cl...
Il laboratorio odontotecnico Mantovani e Poli ha partecipato al corso OnAir " 4+4+1" tenuto in data 10 Luglio 2020 tenuto dal Sig. Enrico Ferrarelli Noritake
Il laboratorio odontotecnico Mantovani & Poli ha partecipato nel mese di Maggio 2020 al seminario
" Il digitale nel presente e nel futuro dello studio dentistico "
Il laboratorio Mantovani & Poli ha partecipato nei giorni 30 Aprile e 1/2 Maggio al XII Meeting Mediterraneo Onair
" Preparazioni nell'epoca del digitale "
Il laboratorio odontotecnico Mantovani & Poli ha partecipato a Bologna il 21-22-23 Novembre 2019 al Congresso Internazionale AIOP.
Il laboratorio odontotecnico Mantovani & Poli ha partecipato al corso semestrale tenutosi a Monza dal Dott. Guido Fichera nell' anno 2019.
Il laboratorio odontotecnico Mantovani D. & Poli T. ha partecipato al 25° Colloqium Dental 2019 tenutosi a Montichiari (BS) il 17/18/19 ottobre 2019.
Il laboratorio Mantovani D. & Poli T. ha partecipato al corso di aggiornamento di implantologia clinica Protocollo B.O.P.T. tenutosi presso BORGCENTER de Validencas, Barcellona nei giorni 18/19 Gennaio 2019
Il laboratorio odontotecnico Mantovani D. & Poli T. ha partecipato al corso completo di aggiornamento di Protesi Rimovibile tenetutosi presso la sede del laboratorio a Carpi in data 20/21/22 Dicembre 2019.
Il laboratorio Mantovani D. & Poli T. ha partecipato al Corso di aggiornamento di Fotografia Clinica e Artistica tenutosi a Milano
il 23-24 Novembre 2018 dal Dott. Orlando A. Paguaga Padilla
Il laboratorio Mantovani D. & Poli T. ha partecipato al Congresso Internazionale tenutosi a Bologna in data 16-17 Novembre 2018
Il laboratorio Mantovani D.& Poli T. ha partecipato al Corso Precongressuale tenutosi a Bologna il 15 Novembre 2018
Il Laboratorio Mantovani D. & Poli T. ha partecipato al corso di aggiornamento tenutosi a Modena il 2/3 Luglio 2018 dal Professore Dr. Sidney Kina
Il laboratorio Mantovani D.& Poli T. ha partecipato al Meeting Mediterraneo AIOP "Strategie vincenti in protesi fissa"
tenutosi a Riccione il 13-14 Aprile 2018
Il laboratorio Mantovani D.&Poli T. ha partecipato al Congresso Internazionale AIOP "L'Educazione all'Eccelenza" tenutosi a Bologna 16-17-18 Novembre 2017
il laboratorio odontotecnico Mantovani D. & Poli T.
ha partecipato al IX Meeting Mediterraneo AIOP
" La forma dei denti: natura e tecnica a confronto "
che si è tenuto a Ricci...
Il laboratorio Mantovani&Poli ha partecipato
al corso di aggiornamento tenuto dal Dott. Marco Degidi
presso Degidi Dental Clinic.
Bologna 6-7 Aprile 2017
Il laboratorio Mantovani&poli ha partecipato nei giorni 3 e 4 Marzo 2017 Correggio al corso di aggiornamento
Smile Design Oral Golden Section
Il laboratorio odontotecnico Mantovani D. & Poli T.
ha partecipato al corso d'aggiornamento ed al Congresso Dental Educator
" DAL VALORE DELLA PROTESI ALLA PROTESI DI VALORE "
svoltosi...
Il laboratorio odontotecnico Mantovani D. & Poli T.
ha partecipato al XXXv Congresso Internazionale AIOP
" CONTROVERSIE ATTUALI E PROSPETTIVE FUTURE IN PROTESI "
che si è tenu...
Il laboratorio Mantovani&Poli ha partecipato al corso INSIDE IN tenutosi a Correggio nei giorni 30/09/2016 e 01/10/2016
Il Laboratorio Mantovani&Poli ha parecipato al congresso ITI Italia che si è tenuto a Bologna nei giorni 22-23-24 settembre 2016
Il laboratorio Mantovani&Poli partecipa al corso presso ICDE nei giorni 16/17 settembre 2016 nella sede di Casalecchio di Reno (Bo)
Il laboratorio Mantovani&Poli partecipa:
al Meeting Mediterraneo DIGIT@AIOP
- l' odontoiatria digitale analizzata dall' Accademia Italiana di Odontoiatria Protesica
-15 e 16 april...
Il laboratorio Mantovani&Poli partecipa:
al corso di Estetica Dentale tenuto dal Sig. NONDAS
- 14 e 15 MARZO 2016 - Correggio (RE) >
Il laboratorio Mantovani&Poli partecipa :
- al corso di aggiornamento precongressuale
"L'INTERFACCIA PROTESICO-PARODONTALE E PROTESICO PERIMPLANTARE:
CONTROVERSIE, INNOVAZIONI E SOLUZIONI&q...
Il laboratorio Mantovani&Poli partecipa:
al corso "DIGITAL DENTISTRY DAY - stato dell'arte e prospettive future in odontoiatria digitale"
- 24 ottobre 2015 - Savoia Hotel Regency - BOLOGNA ...
Il laboratorio Mantovani&Poli partecipa :al corso di fotografia "Dental Photography & Beyond, One-Day Hands-on Course" - Modena- 3 ottobre 2015
Il laboratorio Mantovani&Poli partecipa :
al 2° meeting internazionale DIGITAL DENTAL ACADEMY
27-28 marzo 2015 - Starhotels Du Parc - PARMA
Il laboratorio Mantovani&Poli partecipa al corso di aggiornamento:
"LIVE SURGERY" and "LIVE PROSTHESIS"
12-13-14 Marzo 2015 presso Centro Odontostomatologico San Luigi - ...
"Nuove soluzioni estetiche nell'odontoiatria moderna" Seminario formativo curato da Laboratorio odontotecnico Mantovani&Poli e Dr Paolo Guazzi, focalizzato sulle nuove strategie inerenti la riabilitazione...
Evento tenutosi a Fossano (Cuneo) in occasione del percorso di aggiornamento formativo in ambito riabilitativo protesico
Conferenza divulgativa ed esperienziale in ambito protesico per evidenziare la rilevanza dell'utilizzo di nuovi materiali ricostruttivi.
Il laboratorio Mantovani&Poli partecipa:
- al corso di aggiornamento precongressuale PIANO DI TRATTAMENTO INTERDISCIPLINARE :
Strategie basate sull'evidenza scientifica per il successo - 20 novembre ...
Il laboratorio Mantovani&Poli partecipa al Corso di aggiornamento AIC e meeting AIOP nello splendido scenario della Riviera romagnola - aprile 2014